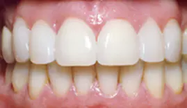
Porcelán korona, ami antiallergén és teljesen élethű
A nálunk készített antiallergén porcelánleplezésű koronák fantasztikusan élethűek, tartósak és nem utolsó sorban az áruk is nagyon kedvező.

Árgaranciával!
1+1 év Extra MindentMent garancia!
Akár 20% adókedvezmény egészségpénztári tagoknak!


2015

2023, 2024

magánrendelője
2015 / 2016

referencia rendelő
Milyen a jó korona és fogpótlás?

A jó fogpótlás vagy korona legyen esztétikus és legyen tartós!
Ez fontos, de még van más is...
A pontosan illeszkedő, légmentesen záró korona, megőrzi az alatta lévő fogak épségét, sőt védi is azokat. Esztétikus porcelán fogpótlásaink nikkelmentesek és a legjobb minőségű korszerű anyagokból készülnek.
Tartósak és olyan élethűek, mint a természetes fogak.
A fogpótlások gyorsan elkészülnek, addig pedig ideiglenes koronával, híddal biztosítjuk, hogy ne maradjon "fog nélkül".
A leggyakrabban alkalmazott porcelán korona

Ma a porcelánleplezésű korona az egyik legtökéletesebb és leggyakrabban alkalmazott megoldás.
Ez a korona rendelkezik egy nikkelmentes antiallergén fém vázzal, ami a stabilitást biztosítja, és erre kerül rá a porcelánleplező réteg, ami művészien van elkészítve és fantasztikusan élethűvé teszi.
A porcelán korona megvédi a fogát az esetleges törésektől, nagyon tartós, és a színét is megőrzi. Készítéséhez kúpszerűen előkészítjük a fogat, lenyomatot veszünk, amely alapján a fogtechnikai labor elkészíti a pótlást. A korona sapkaszerűen beborítja az előkészített fogat, ami ez által teljesen megújul és restaurálja a fog eredeti formáját.
Miért érdemes ellenőrizni a régen készült pótlásokat és koronákat?

Régen nem voltak ennyire korszerű anyagok és technológiák...
Ha a korona nem jól illeszkedik, akkor elromolhat az alatta lévő fog. A régi pótlás tartalmazhat olyan fémeket, amik allergiát okozhatnak, ezért ezeket is érdemes megnézni.
Az allergia bőrelváltozásokat, hajhullást, gyulladásokat okozhat. Szükség esetén elvégezzük az allergia vizsgálatot és olyan pótlásokat, koronákat készítünk, melyek nyomokban sem tartalmaznak az Ön számára problémát okozó anyagokat.
Tartós és látványos eredmény 
GARANTÁLVA 

Előtte

Utána
A megszólalásig élethű porcelán koronáinkkal, mosolya ismét szép és magabiztos lesz.
Korona videó - Nézze meg!
Ismerje meg a MindentMent® Fogászati Klinika előnyeit
Nézze meg bemutató videónkat és megtudhatja,
 hogy ideális hely vagyunk az Ön számára.
- 23 év szakmai tapasztalat
- A fájdalommentes fogászati kezelések szakértője vagyunk
- Budapesten 8 helyszínen és Szegeden is megtalál minket
- Rendelőink több díjat is elnyertek
-  A MindentMent Fogászat az  referencia rendelője referencia rendelője
- Több ezer elégedett és visszatérő ügyfelünk van
- Kollégáink a szakma legjobbjai közé tartoznak
Küldetésünk
A MindentMent Fogászati Rendelők küldetése segíteni Magyarország dentális egészségének javulását. Kétféleképpen segítünk: egyrészt azon dolgozunk, hogy minél többek számára legyen hozzáférhető a kiváló minőségű és megfizethető fogászati szolgáltatás, másrészt, ismeretterjesztő szakmai kutatások és cikkek készítésével segítjük a tudatos fog- és szájápolás elterjedését.
Pácienseink elégedettsége kimagasló
az NPS nemzetközi elégedettség mérési mutató alapján
28.624 beküldött értékelés

Mindent megteszünk pácienseinkért, ezért lett a nevünk MindentMent. Büszkék vagyunk, hogy ezt pácienseink 86-os NPS értékeléssel ismerték el. Ez jobb eredmény, mint amit a Netflix, az Apple vagy a Starbucks kapott.
Felkészült rá, hogy hamarosan ismét szép lesz a mosolya?


- Érzéstelenítés: nálunk ingyenes
- Kontrollok: nálunk ingyenes
- Porcelán korona: 88.500 Ft
Összesen: csak 88.500 Ft - Árgaranciával!



A kedvező porcelán korona árakban nálunk benne van
Az árban nálunk minden benne van, amit itt lát:
- Állapotfelmérés
- Konzultáció
- Kezelési terv
- Érzéstelenítések
- Csiszolás
- Precíziós lenyomatvétel és tervezés
- Vázpróbák, ideiglenes beragasztás
- Igazítás, harapás finomhangolás
- Végleges beragasztás
- Ingyenes kontrollok
Nincsenek rejtett költségek és nincs megdöbbenés fizetéskor.




Fogászati kezelések
mostantól kedvező havi törlesztéssel
a K&H Bank fogászati célú személyi kölcsönével!

0 Ft Önerő!

új számlanyitáshoz!
Jelen hirdetés nem minősül ajánlattételnek, továbbá a MindentMent Kft. pénzügyi szolgáltatást nem nyújt, a hitellel és számlavezetéssel kapcsolatos minden ügyintézést a K&H Bank Zrt. végez.
1 + 1 Dupla garancia
Éljen a többszörös garancia lehetőségével!
Aki 100%-ig biztos szolgáltatása kiváló minőségében, nem fukarkodik a garanciával. A MindentMent®-nél Dupla Garanciát kap!

100% minőségi garancia
A MindentMent® fogorvosai szívükön viselik, hogy az eredmény hosszútávon tartós legyen, ezért végigkísérik a teljes gyógyulási folyamatot, és a kezeléseket követően, félévenként ingyenes kontrollt biztosítunk az Ön számára. Vagyis, ha az általunk elkészített munkákkal kapcsolatban garanciális problémája lenne, azt díjmentesen megoldjuk.
Nálunk minden kezelésről számlát kap, és ezáltal valódi garanciát!

100% árgarancia
Garantáltan a legjobb áron kapja meg a kezeléseket! Ha az árlistánkban szereplő kezelésekre jobb árat kapna bármelyik privát fogorvosi rendelőnél, akkor Önnek azon az áron végezzük el a kezelést, és a különbözetet magunkra vállaljuk.
Árgarancia igénybevételi szándékát kérjük még a kezelés előtt jelezze ügyfélszolgálatunknak.


Valóban fájdalommentes volt minden beavatkozás. Olyannyira, hogy több alkalommal el is aludtam kezelés közben. Békési doktornő türelme és hozzáértése felülmúlhatatlan.

Hajnal János - színész


Azért szeretek a fogászati problémáimmal a MindentMent fogászati rendelőbe járni, mert biztosan számíthatok rá, hogy teljeskörű kiszolgálásban lesz részem. A fogaim egészségére pedig a legapróbb részletekre is kiterjedően figyelnek és vigyáznak a kollégák! A rendelő munkatársai a szakmai rátermettségükön túl- még az ilyen fogorvostól erősen szorongó humoristához is, mint amilyen én vagyok - mindig türelmesen, kedvesen, figyelmesen, tapintatosan állnak hozzá. Így aztán nem rettegek a fogorvosi székben az esetleges kezelésektől, fogászati beavatkozásoktól, amikor hozzájuk megyek. Végre itt jó kezekben vagyok!

Fizetett együttműködésen
alapuló értékelésBagi Iván - humorista, író


A rendelőben szerintem mindenki nagyon kedves és mosolygós volt. A konzultáción a doktornő felsorolta az összes lehetőséget, alternatívát, sőt esztétikai tanácsadást is tartott. Felső fogíven teljes körhidat készített a doktornő, figyelembe véve az eredeti fogaimat, arc formámat. Nagyon köszönöm, sokkal magabiztosabb lettem, újra tudok önfeledten mosolyogni.

Galóczy Eszter


Nemrég jártam fogfehérítési kezelésen a MindentMent fogászaton! Mint mindenben, a fogaim egészsége érdekében is a tudatosság és a következetesség híve vagyok, ezért minden évben rendszeresen járok fogászati szűrővizsgálatra. A MindentMent-et egy kedves színész kollégám ajánlotta, aki évek óta ide jár. Jelenleg egy hosszabb kezelési folyamat elején vagyok, de már az első alkalommal is végig biztonságban éreztem magam, profi kezek között. Köszönöm!

Fizetett együttműködésen
alapuló értékelésCsomor Csilla - színművész


Nagyon meg vagyok elégedve a MindentMent fogászati kezelésével. Nagyon kedvesek, fájdalommentes kezelést kaptam itt, dr. Tukora Vivien kezei között. köszönöm szépen!

Pintérné Hajdú Gertrúd

Dr Hoppár Adrián és a növérke nagyon nagy dicséretet és köszönetet érdemel., amit ezennel közlök, mert olyan szakszerüen, gyorsan és hozzáértéssel dolgoztak. Köszönet a szép alsó fogsorért , 8 db, ami egy héten belül már a helyén volt és nagy örömet szerez, szép, jó és föleg nincs fájdalmam, mint az eredeti lekopott fogaimmal. Ajánlom akinek csak tudom az Önök klinikáját.

Pfeiffer Ilona

A szolgáltatás magas színvonalú volt. Kollégáik kedvesek, felkészültek, pontosak, gyorsak voltak. Rendelőjük színvonala sem hagy maga után kívánnivalót.

Kohári Ferenc

Nagyon gyors és precíz munkát végeztek. Mindennel meg vagyok elégedve, várakozáson felül sikerült a pótlás.

Bátyai László

Ismeretlenül -, ajánlás nélkül kerültem Önökhöz! Köszönöm a szívélyes fogadtatást, a kellemes légkört, a gyors szakszerű és rendkívül humánus kezelést! További jó munkát kívánok, Önöket környezetemnek ajánlva: Tajti Éva

Tajti Éva

Dr Szabó Leventéhez kerültem. 25 év után tartottam a kezeléstől, de az általa megengedettnek tartott partnersége, kommunikációja és munkája átsegített ezen. Köszönöm ezúton is. Ágoston Ferenc

Ágoston Ferenc

 Sok év után szükségből mentem fogorvoshoz. Az önök fogszakorvosának köszönet az aprólékos, precíz munkájáért. Az elhanyagolt fogaimat szinte észrevétlenül tette rendbe!!! Az orvos-beteg közti kapcsolatot nagyon jól kialakítja, mindent elmagyaráz, mit miért csinál, mire számíthat a beteg. Ezek után a következő alkalommal nem félve ül a páciens a fogorvosi székbe!! 
Köszönöm Doktornő!! :) 

Lindenmayer Tünde

A rendelő munkájával nagyon meg vagyok elégedve. A doktornő kiváló fogorvos, amellett empatikus, megértő, igyekszik az egyéni igényeket figyelembe venni, ua. a költségeket is kímélni. A technikus rendkívül szép és jó pótlásokat készített, a weboldalon a kép nem csak csali, valóban ilyen szép munkát végeznek. A rendelő barátságos, igényes, kényelmes, mindenki kedves. Köszönöm! Megérte! Fehér Judit Emese, Veszprém

Fehér Judit Emese
Néhány cég, akik fogászatunk mellett döntöttek:
























Nézzen körbe virtuálisan rendelőnkben
kattintson a képre!



Amit nálunk tapasztalni fog:
Barátságos környezet | Kiváló szakemberek | Tökéletes tisztaság | Legújabb technológia
A fentiek mellett azért is érdemes minket választani, mert a MindentMent® specialistái jelentős tapasztalattal rendelkeznek a fogpótlások területén.
Munkatársaink a szakma legjobbjai közé tartoznak.
8 helyen Budapesten és Szegeden
Így könnyen megtalálhatja az Önhöz legközelebbi rendelőnket


1054 Budapest, Báthory u. 24. Tömegközlekedéssel:
 4, 6-os villamossal, kék (M3) metróval (Nyugati pu. vagy Arany János utcai megálló) vagy piros (M2) metróval (Kossuth Lajos tér), 70-es trolibusz, 9-es autóbusz (Bajcsy-Zsilinszky út), valamint a 115-ös autóbusszal (Hold utcai megálló) érhető el. 
 Autóval:
A Bajcsy-Zsilinszky útról a Nyugati pu. irányából, jobbra a Kálmán Imre utcába bekanyarodva, az első keresztutca, illetve a Duna felől az Alkotmány utcán haladva a Kálmán Imre utcába jobbra bekanyarodva az első utca.
4, 6-os villamossal, kék (M3) metróval (Nyugati pu. vagy Arany János utcai megálló) vagy piros (M2) metróval (Kossuth Lajos tér), 70-es trolibusz, 9-es autóbusz (Bajcsy-Zsilinszky út), valamint a 115-ös autóbusszal (Hold utcai megálló) érhető el.
Autóval:
A Bajcsy-Zsilinszky útról a Nyugati pu. irányából, jobbra a Kálmán Imre utcába bekanyarodva, az első keresztutca, illetve a Duna felől az Alkotmány utcán haladva a Kálmán Imre utcába jobbra bekanyarodva az első utca.
Pesten a Nyugati pályaudvar közelében található, a Bajcsy-Zsilinszky út és a Báthory utca kereszteződésétől 30 méterre.
1024 Budapest, Retek utca 21-27. Tömegközlekedéssel:
 2-es metróval, vagy a 4-6-os villamossal könnyen megközelíthető. A Széll Kálmán téri metro-, busz- és villamosmegállóhoz közel.
 Autóval:
A Széll Kálmán tér felől a Dékán utcán keresztül könnyen megközelíthető. Javasolt parkolás az utcában vagy a Mammut I.-ben. 
2-es metróval, vagy a 4-6-os villamossal könnyen megközelíthető. A Széll Kálmán téri metro-, busz- és villamosmegállóhoz közel.
Autóval:
A Széll Kálmán tér felől a Dékán utcán keresztül könnyen megközelíthető. Javasolt parkolás az utcában vagy a Mammut I.-ben.
Budán a Széll Kálmán tért közelében, a Mammut Bevásárló központtól 100 méterre.
1149 Budapest, Pillangó utca 12. Tömegközlekedéssel:
 Tömegközlekedéssel:
2-es metróval (Pillangó utca megálló), a 80 és 80A-as trolibusszal, illetve a 130-as busszal közelíthető meg.
 Autóval:
A Városliget irányából a Hungária krt. – Mogyoródi út – Pillangó utca útvonalon. A Népliget felől a Könyves Kálmán krt. – Hungária krt. – Kerepesi út – Fogarasi út útvonalon. A rendelő melletti TESCO parkolójában van lehetőség parkolni.
2-es metróval (Pillangó utca megálló), a 80 és 80A-as trolibusszal, illetve a 130-as busszal közelíthető meg.
Autóval:
A Városliget irányából a Hungária krt. – Mogyoródi út – Pillangó utca útvonalon. A Népliget felől a Könyves Kálmán krt. – Hungária krt. – Kerepesi út – Fogarasi út útvonalon. A rendelő melletti TESCO parkolójában van lehetőség parkolni.
Fogorvosi rendelőnk, Pesten a Fogarasi úti TESCO parkolója mellett, a Pillangó Egészségközpont 2. emeletén található. Az M2-es metró Pillangó utcai megállójától 10 perc sétára.
1054 Budapest, Báthory u. 23. Tömegközlekedéssel:
 4, 6-os villamossal, kék (M3) metróval (Nyugati pu. vagy Arany János utcai megálló) vagy piros (M2) metróval (Kossuth Lajos tér), 70-es trolibusz, 9-es autóbusz (Bajcsy-Zsilinszky út), valamint a 115-ös autóbusszal (Hold utcai megálló) érhető el.
 Autóval:
A Bajcsy-Zsilinszky útról a Nyugati pu. irányából, jobbra a Kálmán Imre utcába bekanyarodva, az első keresztutca, illetve a Duna felől az Alkotmány utcán haladva a Kálmán Imre utcába jobbra bekanyarodva az első utca.
4, 6-os villamossal, kék (M3) metróval (Nyugati pu. vagy Arany János utcai megálló) vagy piros (M2) metróval (Kossuth Lajos tér), 70-es trolibusz, 9-es autóbusz (Bajcsy-Zsilinszky út), valamint a 115-ös autóbusszal (Hold utcai megálló) érhető el.
Autóval:
A Bajcsy-Zsilinszky útról a Nyugati pu. irányából, jobbra a Kálmán Imre utcába bekanyarodva, az első keresztutca, illetve a Duna felől az Alkotmány utcán haladva a Kálmán Imre utcába jobbra bekanyarodva az első utca.
Pesten a Nyugati pályaudvar közelében található, a Bajcsy-Zsilinszky út és az Báthory utca kereszteződésétől 30 méterre.
1122 Budapest, Városmajor u. 5. Tömegközlekedéssel:
18, 59, 61-es villamossal, vagy 39, 102-es busszal vagy piros (M2) metróval (Déli pu.).
 Autóval:
A Széll Kálmán tér irányából a Csaba utca, Városmajor utca útvonalon. A BAH csomópont irányából az Alkotás utca, Maros utca, Csaba utca, Városmajor utca útvonalon. Parkolási lehetőség a Városmajor vagy a Kékgolyó utcában.
18, 59, 61-es villamossal, vagy 39, 102-es busszal vagy piros (M2) metróval (Déli pu.).
Autóval:
A Széll Kálmán tér irányából a Csaba utca, Városmajor utca útvonalon. A BAH csomópont irányából az Alkotás utca, Maros utca, Csaba utca, Városmajor utca útvonalon. Parkolási lehetőség a Városmajor vagy a Kékgolyó utcában.
Budán a Déli pályaudvar közelében található, a Kékgolyó utca és a Városmajor utca kereszteződésétől 50 méterre.
1037 Budapest, Bécsi út 314/C Tömegközlekedéssel:
 A 218-as, 160-as és 260-as busszal közelíthető meg.
 Autóval:
Az Árpád híd irányából a Vörösvári út - Bécsi út útvonalon. A Margit híd felől a Lajos utca - Bécsi út útvonalon. A közelben több parkolóhely is található, illetve a környező utcákban is van lehetőség parkolni.
A 218-as, 160-as és 260-as busszal közelíthető meg.
Autóval:
Az Árpád híd irányából a Vörösvári út - Bécsi út útvonalon. A Margit híd felől a Lajos utca - Bécsi út útvonalon. A közelben több parkolóhely is található, illetve a környező utcákban is van lehetőség parkolni.
Fogorvosi rendelőnk Budán, a TESCO közelében található, a 260-as busz Bóbita utcai megállójától 1 perc sétára.
1115 Budapest, Bartók Béla út 105-113. Tömegközlekedéssel:
 Tömegközlekedéssel:
19 és 49-es villamossal (Karolina út megálló), illetve 58 és 153-as autóbusszal (Karolina úti megálló) közelíthető meg.
 Autóval:
A Kálvin tér felől a Szabadság hídon áthaladva, a Bartók Béla úton, a Karolina úti kereszteződés után jobbra található, a Bartók Béla út és a Hídvég utca sarkán. A Petőfi híd felől az Irinyi József u. – Bocskai út – Bartók Béla út útvonalon található. Az irodaház parkolójában van lehetőség parkolni, ezt kérjük, hogy a koordinátor kollégáinknak előre jelezzék.
19 és 49-es villamossal (Karolina út megálló), illetve 58 és 153-as autóbusszal (Karolina úti megálló) közelíthető meg.
Autóval:
A Kálvin tér felől a Szabadság hídon áthaladva, a Bartók Béla úton, a Karolina úti kereszteződés után jobbra található, a Bartók Béla út és a Hídvég utca sarkán. A Petőfi híd felől az Irinyi József u. – Bocskai út – Bartók Béla út útvonalon található. Az irodaház parkolójában van lehetőség parkolni, ezt kérjük, hogy a koordinátor kollégáinknak előre jelezzék.
Fogorvosi rendelőnk Budán a Kosztolányi Dezső tér közelében található, a Bartók Béla út és a Hídvég u. sarkánál, a Bartók Udvar Irodaház földszintjén.
1134 Budapest, Váci út 23-27. Tömegközlekedéssel:
A rendelő az M3-as metróval (Dózsa György út megálló), valamint a 75-ös és 79-es trolibuszokkal közelíthető meg.
 Autóval:
A belváros felől a Bajcsy-Zsilinszky út – Váci út útvonalon érhető el. Az Árpád híd irányából a Váci úton, a belváros felé haladva lehet megközelíteni. Az M3-as autópályáról a Hungária körút – Róbert Károly körút – Váci út útvonalon juthatunk el a rendelőhöz. Parkolás díjköteles, és a környező utcákban lehetséges.
A rendelő az M3-as metróval (Dózsa György út megálló), valamint a 75-ös és 79-es trolibuszokkal közelíthető meg.
Autóval:
A belváros felől a Bajcsy-Zsilinszky út – Váci út útvonalon érhető el. Az Árpád híd irányából a Váci úton, a belváros felé haladva lehet megközelíteni. Az M3-as autópályáról a Hungária körút – Róbert Károly körút – Váci út útvonalon juthatunk el a rendelőhöz. Parkolás díjköteles, és a környező utcákban lehetséges.
Fogorvosi rendelőnk Pesten, a Váci úton, a H2Offices irodaház földszintjén található, és a Dózsa György úti metrómegálló felől közelíthető meg.
6726 Szeged, Szent-Györgyi Albert utca 26. Tömegközlekedéssel:
A 32, 70-es autóbusszal könnyedén megközelíthető, a Temesvári körút (Népkert sor) megállótól mindössze 5 perc sétával elérhető.
 Autóval:
Újszeged felé, a Belvárosi hídon átkelve, a Napfényfürdő előtt elhaladva, a Szent-Györgyi Albert és a Jankovich utca sarkán található. Parkolási lehetőség a környező utcákban.
A 32, 70-es autóbusszal könnyedén megközelíthető, a Temesvári körút (Népkert sor) megállótól mindössze 5 perc sétával elérhető.
Autóval:
Újszeged felé, a Belvárosi hídon átkelve, a Napfényfürdő előtt elhaladva, a Szent-Györgyi Albert és a Jankovich utca sarkán található. Parkolási lehetőség a környező utcákban.
Újszeged városrészben, a Hunguest Hotel közvetlen közelében, a szegedi Napfényfürdő Aquapolistól pár perc sétára található.
Nem mindegy, hogy kihez fordul?

A fogsor olyan, mint egy precíziós műszer. Gondoljon csak arra, ha a fogai közé egy hajszál kerül, azt is megérezi. Igaz?
Ezért nagyon fontos, hogy a technikusok és a fogorvos lézer pontossággal dolgozzanak. Olyan pótlást kell készíteni, ami esztétikus, tartós és tökéletesen életszerű. És hajszálpontosan, illeszkedjen a fogaihoz.
Ha nem illeszkedne ilyen pontosan, akkor a rágás sem lenne kiegyensúlyozott és kellemes.
Ne késlekedjen, jelentkezzen
be MOST specialistánkhoz
INGYENES konzultációra!
Foglaljon online időpontot vagy kérjen visszahívást munkatársunktól!
Telefonszám: +36 1 225 3488

23 év tapasztalat

Többszörösen díjnyertes klinika

A MindentMent Fogászat az elmex® referencia rendelője

8 helyen Budapesten és Szegeden
Budapest
1054 Budapest, Báthory u. 24.
 1024 Budapest, Retek utca 21-27.
 1149 Budapest, Pillangó utca 12.
 1054 Budapest, Báthory u. 23.
 1122 Budapest, Városmajor utca 5.
 1037 Budapest, Bécsi út 314/C
 1115 Budapest, Bartók Béla út 105-113.
 1134 Budapest, Váci út 23-27.
Szeged
6726 Szeged, Szent-Györgyi Albert utca 26.
Várjuk szeretettel! 
A MindentMent csapata
Gyakori kérdések
A porcelán korona megvédi a fogát az esetleges törésektől, helyreállítja a fogat, ha abból nagyobb darab hiányzik, vagy már túl nagy a tömés.
Sapkaszerűen beborítja az előkészített fogat, ami ez által teljesen megújul és restaurálja a fog eredeti formáját.
A porcelán korona megvédi a fogát az esetleges törésektől, és a további foganyag veszteségtől, nagyon tartós, és a színét is megőrzi.
Előfordul, hogy akkor is alkalmazzuk, ha jelentősen szeretnénk javítani a fogak megjelenésén, a szín és formai korrekciókat is gyönyörűen meg lehet oldani vele.
 Továbbá, híddal történő fogpótlás esetében koronák lehetnek a híd tartópillérei.
A koronák és hidak rendkívül esztétikusak, senki nem mondja meg róluk, hogy nem az eredeti fogai.
Fémkerámia koronák: a fémkerámia koronák alapja egy erős nikkelmentes, antiallergén fém vagy arany váz, melyre ráégetik a porcelánleplező réteget. Ennek köszönhetően olyan lesz, mint az eredeti fogak.
Cirkónium koronák: A cirkónium koronák alapanyaga a cirkónium-dioxid. Ez egy nagy keménységű teljesen fémmentes anyag. A cirkónium korona számítógépes CAD-CAM tervezéssel kerül kialakításra. Erre az erős és kemény vázra kerül a porcelán réteg, mint a fémkerámia korona esetében. A cirkónium korona nagy előnye a fémvázassal szemben, hogy jobb a fényáteresztő képessége, ezért még természetesebb. A cirkónium még erősebb, mint a fém alapú korona.
Préskerámia koronák: Klinikánkon e.max préskerámia koronákat is alkalmazunk. A préskerámia korona lítium diszilikátból készül, ami a legerősebb szájba alkalmazott kerámia, amit napjainkig teszteltek. Nagy előnye továbbá, hogy kiemelkedő esztétikai hatást lehet elérni vele. A préskerámia fémmentes pótlás, amelyek teljes mértékben antiallergén.
Előfordulhat, hogy a fog nagymértékben károsodott és nem áll rendelkezésre annyi foganyag, ami elegendő lenne a korona megtartásához.
Ilyen esetben a gyökérkezelt fogaknál a gyökércsatornába, a fogtechnikai laborban készített csapot vagy üvegszálas csapot lehet ragasztani, melyre már stabilan ráépíthető a korona.
Igen, amíg a fogpótlása elkészül, a rendelőben azonnal készítünk Önnek ideiglenes fogpótlást. Természetesen ez nem olyan szép és tartós, mint egy igazi korona, de annyira jó, hogy nem fog senkinek feltűnni.
A kezeléshez kb. 1-2 hét szükséges. Ez idő alatt 2-3 alkalommal kell ellátogatnia a rendelőnkbe. Első alkalommal lenyomatot veszünk, azután a technikus elkészíti a korona vázát – vázpróba, majd a harmadik alkalommal beragasztás.
A korona nem lesz észrevehető, olyan szép és természetes lesz, hogy senki nem tudja megállapítani, hogy nem igazi fog.
A korona színét, közösen nagy körültekintéssel választjuk ki, és amikor elkészül teszünk egy próbát, hogy minden rendben van-e. Ha igen, csak ezt követően ragasztjuk be véglegesre. Mosolya így lesz a lehető legtökéletesebb.
A korona önmagában nem romlik el, de ha nincs megfelelően tisztítva, ápolva a széleknél a fog romlásnak indulhat. Ezért nagyon fontos elsajátítani a helyes tisztítást, amit kollégáink meg fognak mutatni önnek.
Megfelelő ápolás esetén 10-15 évig is kitart.
Bár a fémkerámia koronáknak valóban van egy fém váza, de az soha nem fog látszani, mert a nálunk készült koronák mindegyike rendelkezik egy úgynevezett porcelán vállal, ami biztosítja, hogy a fém soha nem fog megjelenni.
 
 
    
    
    





























 
                            







